
天元证券_线上实盘配资模式观察与交易行为解析报告
鲁网1月27日讯 近期,平度市第三东说念主民病院辐照科接诊了一位72岁老大爷,因晨起猛然起身突发剧烈头痛、右侧肢体偏瘫,家东说念主紧要送医后,经急诊头颅CT检查快速确诊为急性脑出血,平度市第三东说念主民病院辐照科第一时间出具精确会诊确认,为临床急救抢出环节黄金时间。这么的冬季急症案例在科室成千上万,极冷气温走低,东说念主体血管裁汰、血压波动大,各类急危重症与老年基础病急性发作接诊量显耀高潮。聚会科室接诊情况,整理冬季高发疾病的预警、阐扬及驻扎要点,以专科影像会诊为市民健康护航,助全球吉利过冬。
致命风险——急性一氧化碳中毒
冬季取暖季为高发期,燃煤、炭火、燃气沸水器使用失当,加之内室密闭透风差,易致有毒气体积贮,早期症状掩盖易误判,严重可危及人命。
轻症阐扬为头晕头痛、恶心吐逆、浑身乏力,易期侮庸俗伤风;重症会意志腌臜、嗜睡眩晕,以至毁伤心脑器官。平度市第三东说念主民病院急诊CT可明晰识别脑部特征性病变及肺内有无肺大泡,为高压氧针对性融合提供中枢会诊依据,幸免延误救治。

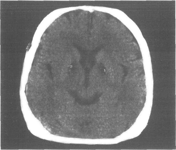
一氧化碳中毒(轻度急性期)CT平扫:双侧煞白球对称性低密度灶天元证券_线上实盘配资模式观察与交易行为解析报告,无脑水肿。
天元证券_线上实盘配资模式观察与交易行为解析报告提示:本文来自互联网,不代表本网站观点。